Tambal gigi adalah prosedur perawatan gigi yang bertujuan untuk memperbaiki gigi yang rusak akibat karies (lubang), retak, atau aus. Apalagi ketika kerusakan terjadi pada area estetik, seperti gigi yang terlihat saat tersenyum, maka tambal gigi depan menjadi pilihan terbaik karena hasilnya dapat menyatu dengan warna gigi asli. Kerusakan pada gigi tidak hanya mengganggu penampilan, tetapi juga dapat menyebabkan rasa sakit, infeksi, dan bahkan kehilangan gigi. Oleh karena itu, tambal gigi berlubang sangat penting untuk menjaga kesehatan dan fungsi gigi secara optimal.
Prosedur Tambal Gigi
Prosedur tambal gigi umumnya dilakukan dalam beberapa langkah:
Pemeriksaan dan Diagnosis
Dokter gigi akan melakukan pemeriksaan menyeluruh pada gigi kamu, termasuk rongga mulut secara keseluruhan. Selain menentukan tingkat kerusakan gigi, dokter juga akan mengevaluasi kesehatan gusi dan kondisi gigi lainnya. Berdasarkan hasil pemeriksaan, dokter akan menyusun rencana perawatan yang paling tepat.

Pemberian Anestesi
Sebelum memulai prosedur, dokter gigi akan memberikan anestesi lokal pada area sekitar gigi yang akan ditambal. Anestesi ini akan membuat area tersebut mati rasa sehingga Anda tidak merasakan sakit selama proses penambalan.
Pembersihan Gigi
Setelah area sudah mati rasa, dokter gigi akan membersihkan gigi yang berlubang dengan menggunakan bor khusus. Bagian gigi yang sudah rusak dan terinfeksi akan disingkirkan hingga mencapai jaringan gigi yang sehat.
Baca juga: Cara Membersihkan Mulut yang Efektif, Apa Saja Sih Tahapannya?
Pemasangan Tambalan Gigi
1. Pembersihan Lubang
Setelah lubang dibersihkan, dokter gigi akan membersihkan lubang tersebut dengan semprotan air dan udara untuk menghilangkan sisa-sisa bakteri dan kotoran.
2. Pengaplikasian Adhesive
Sebelum memasang tambalan, dokter gigi akan mengaplikasikan bahan adhesive (perekat) pada dinding lubang gigi agar tambalan dapat menempel dengan kuat.
3. Pemasangan Bahan Tambalan
Bahan tambalan (seperti komposit, amalgam, atau porselen) akan dimasukkan ke dalam lubang gigi secara bertahap dan dibentuk sesuai dengan kontur gigi.
4. Pengerasan
Bahan tambalan kemudian akan dikeraskan menggunakan sinar ultraviolet atau laser agar mengeras dan membentuk tambalan yang kuat.
5. Pemolesan
Setelah tambalan mengeras, dokter gigi akan memoles permukaan tambalan agar halus dan rata dengan permukaan gigi lainnya.
6. Pemeriksaan Akhir
Setelah proses penambalan selesai, dokter gigi akan memeriksa kembali hasil kerja untuk memastikan tambalan sudah pas, tidak ada bagian yang tajam, dan gigitan Anda sudah nyaman.

Jenis Tambalan Gigi
Terdapat beberapa jenis bahan tambalan gigi yang umum digunakan, masing-masing memiliki kelebihan dan kekurangan:
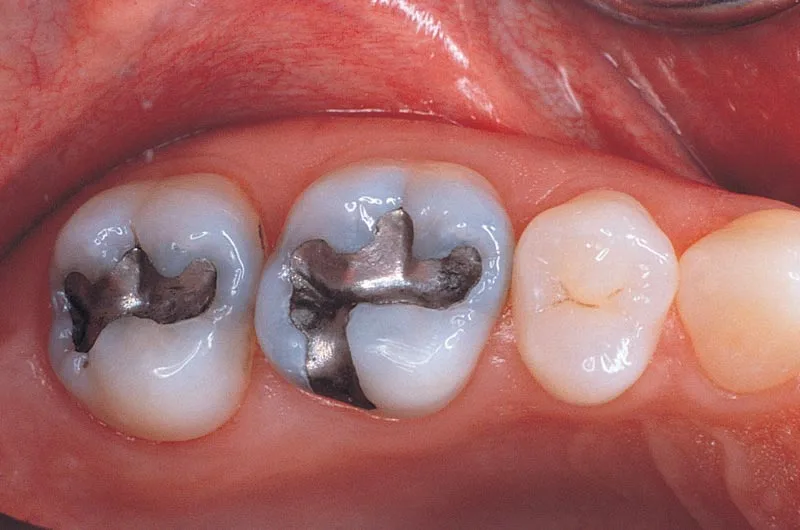
Tambal Amalgam
Tambalan amalgam terbuat dari campuran merkuri, perak, timah, dan tembaga.
Kelebihan: Kuat, tahan lama, dan biayanya relatif terjangkau.
Kekurangan: Warnanya berbeda dengan warna gigi sehingga kurang estetis.

Tambal Resin Komposit
Pada area yang terlihat seperti gigi depan, dokter biasanya merekomendasikan tambal gigi depan menggunakan resin komposit atau porselen agar tampilan tetap alami. Tambalan resin komposit terbuat dari bahan plastik yang dicampur dengan partikel kaca.
Kelebihan: Warnanya dapat disesuaikan dengan warna gigi sehingga lebih estetis, proses pemasangan lebih cepat, dan dapat digunakan pada area yang sulit dijangkau.
Kekurangan: Kekuatannya tidak sekuat amalgam dan lebih mudah aus, terutama pada gigi belakang yang digunakan untuk mengunyah.

Tambalan Porselen
Tambalan porselen terbuat dari bahan keramik yang sangat kuat dan tahan lama.
Kelebihan: Sangat estetis, tahan noda, dan dapat bertahan dalam jangka waktu yang lama.
Kekurangan: Biayanya lebih mahal dibandingkan bahan tambalan lainnya.
Baca juga: Sama-sama Mencerahkan, Ini Perbedaan Veneer dan Bleaching!
Tambalan Emas
Tambalan emas terbuat dari logam mulia yang sangat kuat dan tahan lama.
Kelebihan: Sangat tahan lama dan tidak mudah aus.
Kekurangan: Biayanya sangat mahal dan kurang estetis.
Berapa Lama Tambalan Gigi Bertahan?
Umur tambalan gigi sangat bervariasi tergantung pada beberapa faktor, seperti jenis bahan tambalan, lokasi tambalan, gaya mengunyah, dan perawatan mulut. Secara umum, estimasi umur tambalan gigi adalah sebagai berikut:
- Amalgam: 10-15 tahun
- Resin Komposit: 5-7 tahun
- Porselen: 10-15 tahun
- Emas: Hingga 20 tahun
Apakah Tambal Gigi Sakit?
Dengan adanya anestesi lokal, prosedur tambal gigi umumnya tidak menimbulkan rasa sakit yang signifikan. Namun, Anda mungkin merasakan sedikit tekanan atau ketidaknyamanan selama prosedur berlangsung. Setelah anestesi habis, Anda mungkin mengalami sedikit sensitivitas pada gigi yang ditambal, tetapi kondisi ini biasanya bersifat sementara.

Efek Samping Tambal Gigi
Meskipun jarang terjadi, beberapa efek samping dapat muncul setelah prosedur tambal gigi, seperti:
- Sensitivitas: Gigi yang ditambal mungkin terasa sensitif terhadap makanan atau minuman panas, dingin, manis, atau asam.
- Retak atau Lepasnya Tambalan: Hal ini dapat terjadi akibat kebiasaan buruk seperti menggigit benda keras atau tambalan yang tidak dipasang dengan benar.
- Infeksi: Jika tambalan bocor atau tidak dipasang dengan baik, bakteri dapat masuk ke dalam gigi dan menyebabkan infeksi.
Penambalan gigi adalah prosedur yang penting untuk memperbaiki gigi yang rusak dan mencegah masalah lebih lanjut. Dengan memilih jenis tambalan yang tepat dan melakukan perawatan yang baik, tambalan gigi dapat bertahan lama dan berfungsi dengan optimal. Biaya untuk tambal gigi berlubang atau tambal gigi depan akan berbeda berdasarkan bahan, lokasi gigi, dan tingkat kerusakan — konsultasikan dengan dokter gigi MHDC untuk estimasi yang tepat.Jangan ragu untuk datang ke klinik Medikids atau MHDC terdekat dari lokasimu dan berkonsultasi dengan dokter gigi spesialis untuk memilih jenis tambalan yang paling cocok sesuai dengan kondisi gigi Anda dan gaya hidup. Selain itu, menjaga kebersihan mulut dengan baik setelah penambalan adalah kunci untuk memastikan gigi tetap sehat dan tambalan bertahan lama.
Referensi
- American Dental Association (ADA). (n.d.). Dental fillings overview. Retrieved from https://www.ada.org/en/member-center/oral-health-topics/dental-fillings
- National Institutes of Health (NIH). (n.d.). Longevity of composite fillings. Retrieved from https://www.nih.gov/
- British Dental Journal. (2019). Amalgam filling durability. British Dental Journal, 227(5), 330-335. https://doi.org/10.1038/s41415-019-0640-9
- Journal of Dentistry. (2018). Porcelain inlay and onlay longevity. Journal of Dentistry, 70, 44-51. https://doi.org/10.1016/j.jdent.2018.01.002
- Mayo Clinic. (2021). Gold restorations in dentistry. Retrieved from https://www.mayoclinic.org/







