Pernahkah kamu memperhatikan seseorang yang gigi depannya ada celah di tengah? Ada yang menyebutnya gigi belah tengah, ada juga yang bilang gigi spasi, gigi bercelah atau gigi renggang. Sebagian orang menganggap itu sebagai daya tarik tersendiri, bahkan menjadi ciri khas yang membuat senyum lebih unik. Tapi di sisi lain, ada juga yang merasa kurang percaya diri. Dalam istilah kedokteran gigi, kondisi ini dikenal dengan sebutan diastema.
Lalu, sebenarnya apa sih diastema itu? Apa penyebabnya, dan bagaimana cara mengatasinya kalau kamu merasa terganggu?
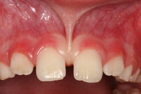
Diastema Gigi
Secara sederhana, diastema adalah celah atau ruang kosong di antara dua gigi. Paling sering terlihat di gigi seri atas, sehingga langsung mencolok saat seseorang tersenyum. Celah kecil kadang masih dianggap wajar, apalagi pada anak-anak, karena biasanya akan menutup dengan sendirinya seiring pertumbuhan gigi permanen.
Namun, kalau celah tetap ada sampai dewasa, atau justru muncul belakangan, bisa jadi ada faktor lain yang memengaruhinya. Nah, disinilah pentingnya kamu memahami apa penyebab diastema sebelum memutuskan apakah perlu perawatan atau tidak.

Kenapa Gigi Berjarak Terjadi?
Ada banyak alasan kenapa gigi bisa tampak renggang. Pada sebagian anak, ini hanya bagian normal dari pertumbuhan gigi. Tapi pada orang dewasa, penyebabnya bisa lebih beragam, seperti:
Frenulum/tali bibir atas yang besar
Jaringan tipis yang menghubungkan bibir dengan gusi bisa melekat terlalu rendah dan menarik gigi depan menjauh.

Kebiasaan sejak kecil
Kebiasaan seperti menghisap jari, mendorong gigi dengan lidah, atau menggigit bibir bisa membuat gigi jadi renggang.

Ukuran gigi lebih kecil dari rahang
Adanya ruang kosong di rahang karena ukuran gigi lebih kecil membuat gigi tidak saling menempel rapat.
Gigi tambahan
Terkadang adanya gigi ekstra di antara gigi depan yang mengganggu posisi normal gigi permanen.
Masalah gusi atau tulang
penyakit jaringan sekitar gigi bisa melemahkan penyangga gigi dan menyebabkan celah baru. Jadi, diastema bukan hanya soal “gigi depan renggang,” tapi bisa berkaitan dengan struktur mulut dan kebiasaan sehari-hari kamu.
Apakah Gigi Berjarak Berbahaya?
Tidak selalu. Pada beberapa orang, celah di gigi depan justru dianggap menambah karakter. Bahkan ada selebriti dunia yang tetap percaya diri dengan senyumnya yang bercelah.

Tapi kalau kamu merasa terganggu, atau bila celah muncul tiba-tiba setelah dewasa, sebaiknya jangan diabaikan. Bisa jadi itu pertanda ada masalah gusi atau tulang yang perlu diperiksa lebih lanjut. Jadi, selain soal estetika, diastema juga bisa menjadi tanda kesehatan gigi dan mulut kamu.
Cara Mengatasi Gigi Bercelah
Perawatan diastema sangat bervariasi, tergantung penyebab dan ukuran celahnya. Beberapa solusi yang umum dilakukan dokter gigi antara lain:
Observasi
Biasanya dilakukan untuk anak-anak, sering kali cukup dipantau saja sampai gigi permanen tumbuh semua.

Menghentikan kebiasaan buruk
Jika terjadi pada anak, orang tua dapat melakukan terapi untuk berhenti menghisap jari atau mendorong gigi dengan lidah bisa sangat membantu.

Tambal Gigi Renggang (komposit)
Kalau celahnya kecil, dokter bisa menutup dengan tambalan estetik dengan bahan tambal yang warnanya menyerupai gigi.

Veneer atau crown
Untuk hasil yang lebih rapi, veneer porselen juga bisa menjadi pilihan, terutama kalau bentuk gigi juga perlu diperbaiki.

Behel (ortodonti)
Bila celah cukup besar atau melibatkan beberapa gigi, behel bisa menggeser gigi agar rapat kembali. Dan kini kamu bisa mendapatkan behel berkualitas yang dipasang oleh orthodontist dengan harga mulai dari Rp8.000.000 dengan promo Brace Up dari Medikids.

Frenektomi
Jika penyebabnya frenulum/tali bibir yang besar, dokter bisa melakukan operasi kecil untuk menghilangkan tarikan dari jaringan tersebut. Kadang, kombinasi perawatan diperlukan agar hasilnya maksimal dan tidak mudah kembali renggang.

Jadi diastema gigi, atau yang sering disebut gigi belah tengah, gigi spasi, gigi tengah renggang, adalah kondisi yang umum dan tidak selalu berbahaya. Pada sebagian orang, celah ini justru menjadi bagian dari identitas senyum mereka. Namun, bila kamu merasa tidak nyaman, baik karena alasan estetika maupun kesehatan, ada banyak cara medis yang bisa dilakukan untuk menutup celah tersebut.
Yang terpenting, jangan menebak-nebak sendiri. Yuk, konsultasikan dengan dokter gigi di MHDC dan Medikids agar kamu tahu penyebab pastinya dan bisa memilih solusi yang tepat. Dengan begitu, senyum kamu bukan hanya indah, tapi juga sehat.
artikel ditulis oleh: drg. Alfika Dinar Fitri
ditinjau oleh: drg. Rizky Aditiya Irwandi, M.Sc
Referensi
- Spear Education. (2023). Managing the Midline Diastema Part 1: Etiology. https://www.speareducation.com/spear-review/2023/12/managing-the-midline-diastema-part-1-etiology.
- Huang WJ, Creath CJ. (1995). The midline diastema: a review of its etiology and treatment. Pediatr Dent;17(3):171–179. https://pmc.ncbi.nlm.nih.gov/articles/PMC4736806/.
- Shashua D, Artun J. (1999). Midline diastema: a review of etiology and treatment. https://www.aapd.org/globalassets/media/publications/archives/huang-17-03.pdf







