Langit-langit mulut adalah atap yang memisahkan rongga mulut dari rongga hidung. Terdiri dari dua bagian yang berbeda, yaitu langit-langit keras di bagian depan dan langit-langit lunak di bagian belakang. Fungsinya adalah untuk membantu proses mengunyah dan menelan, bernapas, serta berbicara.
Tapi, pernahkah kamu merasakan adanya benjolan pada langit-langit mulut yang mengganggu kenyamanan saat makan maupun berbicara?

Benjolan pada area tersebut umumnya muncul dalam berbagai variasi, mulai dari yang teraba lunak hingga keras, serta ada yang terasa sakit atau tidak menimbulkan rasa sakit sama sekali.
Benjolan ini menandakan adanya perubahan atau gangguan pada jaringan tersebut yang dapat disebabkan oleh banyak faktor, seperti infeksi, iritasi, maupun gangguan kesehatan lain seperti tumor atau kanker mulut.
Yuk, Kenali Jenis Benjolan yang Bisa Muncul di Langit Mulut
Dengan mengetahui jenis benjolannya, kamu pun bisa lebih waspada terhadap kondisi kesehatan di area tersebut.

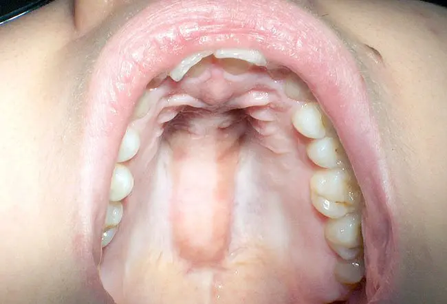
1. Torus Palatinus
Torus Palatinus merupakan suatu benjolan yang teraba keras seperti tulang dan umumnya terletak pada area garis tengah langit-langit mulut. Benjolan ini muncul karena adanya pertumbuhan berlebih dari jaringan tulang yang membentuk atap mulut. Penyebab paling umum munculnya benjolan ini adalah faktor genetik atau keturunan. Ukuran dan bentuk dari benjolan ini dapat bervariasi, mulai dari kecil hingga besar. Benjolan ini umumnya tidak berbahaya dan tidak menimbulkan gejala atau rasa sakit.
Dalam kebanyakan kasus, torus palatinus tidak perlu dihilangkan. Namun, dalam beberapa kondisi, torus palatinus perlu dihilangkan apabila terjadi gangguan bicara, gangguan pengunyahan, mengganggu kebersihan rongga mulut sehingga menjadi tempat menempelnya sisa makanan, terjadi trauma atau luka pada permukaan torus, serta apabila mengganggu dalam proses pembuatan gigi palsu.
2. Infeksi Gigi
Infeksi yang terjadi pada gigi, terutama pada gigi-gigi rahang atas, dapat menjadi penyebab munculnya benjolan pada langit-langit mulut. Benjolan ini biasanya berupa abses atau kumpulan nanah yang terlokalisasi karena adanya infeksi yang menyebar akibat infeksi pulpa (ruang saraf) gigi, infeksi jaringan penyangga gigi, atau infeksi sekunder dari kista gigi (odontoma).
Abses yang muncul pada langit-langit mulut biasanya akan muncul di area sekitar gigi yang menjadi sumber infeksi, seperti gigi berlubang, gigi yang tertutup karang gigi, gigi goyang, atau bahkan mungkin dapat muncul pada gigi yang sudah pernah dirawat sebelumnya. Benjolan umumnya teraba lunak dan kenyal, berwarna kemerahan atau sewarna dengan jaringan sekitar, dapat menimbulkan rasa sakit dan nyeri, tetapi bisa juga tidak menimbulkan rasa sakit. Ukuran benjolan dapat bervariasi dan berkembang sejalan dengan tingkat keparahan infeksi, semakin besar benjolan yang muncul maka akan semakin berdampak negatif pada jaringan sekitarnya. Oleh karena itu, benjolan abses ini perlu segera dilakukan perawatan.3
3. Benjolan karena Kondisi Kesehatan Lainnya
Terdapat beberapa kondisi lainnya yang mengakibatkan munculnya benjolan pada langit-langit mulut, diantaranya:
- Kista
Jenis kista yang sering muncul pada langit-langit mulut yaitu Bohn’s Nodule, Epstein’s Pearl, dan kista erupsi. Umumnya Bohn’s Nodule dan Epstein’s Pearl ini muncul pada bayi baru lahir, sedangkan untuk kista erupsi umumnya muncul pada anak-anak saat masa pertumbuhan gigi susu. Jika tidak menimbulkan gejala dan mengganggu aktivitas, kista-kista ini tidak memerlukan perawatan karena akan hilang dengan sendirinya.
- Trauma dan Iritasi
Luka trauma atau iritasi yang terjadi pada langit-langit mulut dapat menyebabkan pembengkakan yang terkadang bisa tampak berupa benjolan. Hal ini sering kali terjadi akibat pemakaian gigi palsu dan kawat gigi yang tidak sesuai. Selain itu, luka sayatan, luka gesekan, atau benturan pada wajah terkadang juga bisa menyebabkan benjolan di langit-langit mulut.
- Kanker Mulut

Kanker mulut adalah pertumbuhan sel secara abnormal yang juga dapat terjadi pada langit-langit mulut. Terdapat beberapa penyebab kanker mulut seperti merokok, sering mengonsumsi minuman beralkohol, pola hidup dan pola makan yang salah, tidak menjaga kebersihan dan kesehatan rongga mulut dan/atau adanya infeksi virus.
Biasanya, gejala awal penyakit kanker mulut adalah munculnya luka pada jaringan tersebut yang tidak kunjung sembuh, sehingga kanker mulut sering kali sulit dibedakan dengan sariawan. Oleh karena itu, perlu dilakukan pemeriksaan lebih lanjut oleh dokter gigi agar dapat segera dilakukan perawatan yang tepat.
Kesimpulan
Langit-langit mulut yang berada di atas rongga mulut kita merupakan atap yang memisahkan antara rongga mulut dengan rongga hidung yang memiliki fungsi penting dalam membantu proses mengunyah dan menelan, bernafas, serta berbicara. Oleh karena itu, kita perlu menjaga kebersihan dan kesehatan langit-langit dan mulut.
Segera lakukan pemeriksaan ke klinik dokter gigi terdekat apabila kamu menemukan adanya kondisi yang tidak normal di area ini, seperti luka, benjolan ataupun pembengkakan yang bisa mengganggu aktivitas keseharian. Kamu bisa datang ke Medikids atau MHDC Clinic. Dokter gigi kami yang berpengalaman selalu siap membantumu dalam menentukan dan memberikan perawatan yang tepat untuk masalah gigi serta rongga mulut.
Ditulis oleh: drg. Alma Dwininta Novritasari
Ditinjau oleh: drg. Rizky Aditya Irwandi, M.Sc., Ph.D
Referensi:
- Kusumawardhany, D. F., & Sjamsudin, E. (2025). Treatment of Torus Palatinus: An Overview. Clinical Medicine And Health Research Journal.
- Bukhari, M. A. (2021). Clinical patterns, causes, and treatment of torus palatinus. International Journal of Community Medicine and Public Health.
- Marian, D., Constantin, G. D., Stana, A. H., Lile, I. E., Hajaj, T., & Gag, O. L. (2025). Palatal Abscess of Endodontic Origin with Extensive Radiolucency in Maxillary CBCT Imaging. Diagnostics.
- Baños-Hernández, K. Y., Rojas-Curiel, E. Z., Soria-Cespedes, D. R., Saynes-Marín, F. J., Ramírez-Rivas, M., Rojas-Curiel Sr, E. Z., & Virgilio, L. G. (2026). Low-Grade Mucoepidermoid Carcinoma Mimicking a Mucocele in the Soft Palate: A Case Report.
- Nanu, D. P., Favre, N. M., Walsh, J., Farsar, C., Le, T. A., Carr, M. M., & Farsar, C. J. (2023). Palatal Supernumerary Tooth in a Pediatric Patient.
- Nurprilinda, M. (2024). Faktor Risiko Kanker Rongga Mulut.






