iawaPernahkan anda mendengar sebutan gigi sisa akar? atau apakah anda mungkin memilikinya? Apakah itu gigi sisa akar?
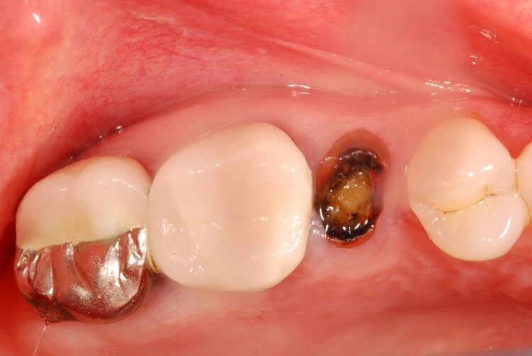
Gigi sisa akar adalah kondisi dimana gigi telah kehilangan sebagian besar atau seluruh mahkotanya dan menyisakan akarnya saja yang masih tertanam di dalam gusi. Kondisi sisa akar ini dapat disebabkan oleh banyak hal seperti gigi berlubang besar dan dalam yang tidak dirawat kemudian keropos, gigi patah karena benturan, bahkan ada juga sisa akar gigi yang tertinggal setelah pencabutan gigi yang tidak berhasil.
Efek Samping Akar Gigi Tertinggal
Infeksi
Sisa akar gigi terkadang tidak menimbulkan keluhan pada pasien, namun sebenarnya sisa akar menyimpan potensi besar yang selanjutnya dapat menyebabkan infeksi yang dapat meluas. Sisa akar gigi dapat menjadi tempat sisa makanan tersangkut dan menyebabkan peradangan pada gusi sekitar sisa akar. Peradangan gusi dapat terjadi dari skala kecil atau lokalis hingga besar atau sistemik. Peradangan gusi lokalis biasanya ditandai dengan kemerahan pada gusi sekitar sisa akar hingga pembengkakan.

Masalah Pencernaan
Namun perlu diingat, infeksi kecil pada rongga mulut dapat meluas hingga ke seluruh tubuh mengingat rongga mulut adalah gerbang awal dari sistem pencernaan manusia bila tidak segera dilakukan tindakan. Bakteri penyebab penyakit di dalam mulut dapat menyebar hingga ke bagian tubuh lain. Maka dari itu, infeksi pada area mulut harus segera dilakukan tindakan tidak perlu menunggu sampai terasa sakit.

Sariawan dan Luka Mulut
Sisa akar gigi juga terkadang memiliki ujung yang tajam sehingga sering kali menyebabkan luka atau sariawan baik pada lidah ataupun pipi. Luka sariawan ini selain mengganggu makan dan kenyamanan juga dapat mengarah ke kondisi keganasan. Sariawan dapat terjadi secara berulang menyebabkan sariawan tidak kunjung sembuh. Normalnya, sariawan seharusnya dapat sembuh dalam 1 minggu bila tidak ada hambatan seperti trauma berulang. Sariawan yang tidak kunjung sembuh lebih dari 2 minggu dapat berujung pada keganasan atau kanker mulut. Maka dari itu, sisa akar gigi sebaiknya tidak dipertahankan di dalam rongga mulut, dan perlu dilakukan pencabutan untuk mencegah kondisi infeksi yang lebih parah.

Cara Mencabut Gigi yang Tinggal Akarnya
Pencabutan gigi sisa akar memiliki tingkat kesulitannya tersendiri tergantung pada kasus dan posisi gigi yang akan dilakukan pencabutan. Pada kasus sisa akar gigi umumnya pencabutan dapat dilakukan dengan sederhana dan minim rasa sakit, namun bila sisa akar gigi tertanam di dalam tulang dan tertutup gusi, maka pencabutannya menjadi lebih kompleks. Untuk itu sebelum dilakukan pencabutan, dokter gigi perlu memeriksa dengan seksama posisi sisa akar gigi yang tertinggal dengan pemeriksaan penunjang rontgen baik dental ataupun panoramik sesuai dengan indikasi. Pencabutan gigi sisa akar ini dapat dilakukan baik oleh dokter gigi umum atau oleh dokter gigi spesialis bedah mulut. Tapi jangan khawatir, di Medikids dan MHDC Clinic sudah tersedia dokter-dokter spesialis yang siap mengatasi masalah gigimu. Jadi tunggu apa lagi, yuk segera jadwalkan reservasi kamu sekarang di Medikids terdekat!
ditulis oleh: drg. Cynthia Pratiwi
ditinjau oleh: drg. Rizky Aditiya Irwandi, M.Sc






