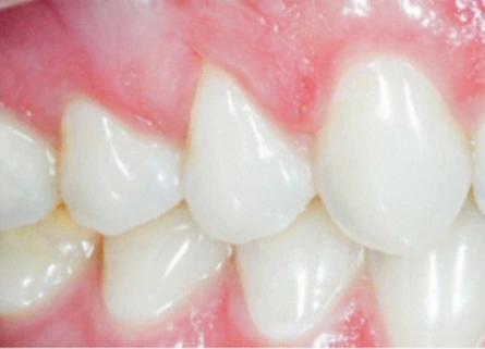
Muncul rasa ngilu saat makan manis, asam, es krim, atau minum air dingin? Ini salah satu tanda gusi lepas atau gusi copot dari gigi. Coba cek di depan cermin sekarang dan lihat gigi yang sensitif itu apakah tampak lebih panjang dari biasanya?
Gusi sehat melekat kuat di sekitar mahkota gigi. Namun, ketika gusi ini terlepas “menjauhi” permukaan mahkota gigi dan mengekpos bagian akar gigi, disinilah terjadi gusi lepas atau dikenal sebagai Resesi Gingiva.
Penyebab Gusi Lepas
Terdapat beberapa penyebab utama resesi gingiva yaitu antara lain:
Trauma kronis yang berlangsung lama
Dapat disebabkan oleh teknik menyikat gigi yang tidak tepat. Dokter gigi dapat menginformasikan teknik yang tepat sesuai kebutuhan.

Penyakit gusi
Pada keadaan ini gusi dan jaringan tulang penopang gigi mengalami kerusakan sehingga ketinggian perlekatan gusi berubah. Menjauh dari area mahkota gigi.

Perawatan pasca penyakit gusi
Penyembuhan pasca perawatan penyakit gusi berdampak pada resesi gingiva, terutama jika, sejak awal sebelum perawatan, sudah terjadi kerusakan tulang penyangga yang mendukung gigi tersebut. Tapi tenang! Ini keadaan yang wajar karena gigi sudah bebas dari infeksi gusi. Resesi gingiva yang terjadi pun dapat diperbaiki dengan prosedur medis khusus oleh Dokter Gigi Spesialis Periodonsia. Di Medikids, tersedia dokter spesialis Periodonsia yang siap membantu menangani masalah gusi kamu.
Trauma gigitan
Keadaan ini muncul karena ketidakseimbangkan distribusi beban gigitan pada gigi sehingga berdampak pada kerusakan struktur pendukungnya, salah satunya gusi yang mengalami resesi gingiva. Dokter Gigi dapat membantu mengidentifikasi potensi masalah ini supaya resesi gingiva dapat dicegah atau jika sudah ada, tidak menjadi lebih parah.

Gejala Gusi Lepas
- Gigi terlihat lebih panjang
- Gigi menjadi lebih sensitif saat makan dan minum panas, diingin, atau manis
- Mudah berdarah ketika menyikat gigi atau flossing (menggunakan dental floss/benang gigi)
- Nyeri pada gusi
- Bau mulut
- Gigi terasa goyang

Cara Mengenali Gusi Lepas
Agar membantu Kamu dengan mudah mengidentifikasi resesi gingiva secara mandiri di rumah, kenali jenisnya yaitu:
- Resesi berbentuk V
- Resesi lokal bentuk U


Penanganan Gusi Lepas
Penanganan resesi gingiva ditentukan oleh penyebabnya dan tingkat keparahannya. Umumnya perawatan awal yang dilakukan adalah pembersihan karang gigi. Namun apabila setelah prosedur tersebut kondisi tidak juga membaik maka tindakan lanjutan perlu dilakukan yaitu antara lain:
- Antibiotik topikal – pemberian obat yang dapat mengendalikan pertumbuhan kuman merugikan
- Penambalan gigi – untuk menutup akar gigi untuk mencegah gigi sensitif bahan infeksi saraf gigi
- Perawatan ortodontik – bisa saja diperlukan apabila penyebab dari resesi gingiva akibat gigi yang tidak rata atau gigitan yang tidak baik
- Cangkok gusi (gingival grafting) – bertujuan untuk menutupi gusi yang terlepas, melindungi gigi, dan memperbaiki tampilan estetikanya.
Konsultasikan dahulu dengan Dokter Gigi Spesialis Periodonsia (drg. Sp.Perio) di MHDC Clinic dan Medikids terdekat sehingga dapat diidentifikasi masalah resesi gingiva yang dialami dan perawatan tepat yang dibutuhkan. Dan jika kamu membutuhkan perawatan orthodonti, kamu bisa memanfaatkan promo Brace Up dari Medikids, kamu bisa pasang behel dengan spesialis orthodonti mulai dari Rp8 juta!
artikel ditulis oleh: drg. Farih Aminah
ditinjau oleh: drg. Rizky Aditiya Irwandi, M.Sc







