Perasaan jadi campur aduk ketika dokter bilang, “Sisa akar giginya harus dicabut, ya.” Padahal, tindakan ini adalah solusi terbaik untuk mencegah terjadinya infeksi yang tidak diinginkan. Umumnya banyak yang membiarkan sisa akar berada dalam rongga mulut karena tidak sakit. Padalah sisa akar gigi memicu infeksi dalam rongga mulut yang bahkan bisa sampai mengancam nyawa.
Dengan teknik kedokteran gigi modern, prosedur pengambilan akar gigi sekarang bisa dilakukan dengan aman, cepat, dan tanpa rasa sakit. Kapan perlu dilakukan, bagaimana prosesnya, dan apa yang harus kamu lakukan setelahnya?
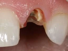
Kenapa Akar Gigi Harus Dicabut?
Ketika gigi rusak parah hanya menyisakan struktur akarnya saja dan tambalan atau perawatan saraf gigi sudah tidak bisa dilakukan. Dalam kondisi seperti ini, akar gigi yang tersisa memicu infeksi dan peradangan pada gusi serta tulang rahang. Sisa akar yang dibiarkan juga bisa menimbulkan bau mulut, nyeri berulang, bahkan abses (kantung nanah).

Apa Itu Cabut Akar Gigi?
Secara sederhana, pencabutan sisa akar gigi adalah tindakan medis untuk mengangkat sisa akar gigi yang masih tertanam di gusi atau tulang rahang. Semua dilakukan dengan anestesi lokal, jadi tidak akan merasakan sakit selama prosedur berlangsung.

Kapan Akar Gigi Harus Dicabut?
Beberapa kondisi umum yang membuat dokter menyarankan pencabutan akar gigi antara lain:
- Gigi patah hingga ke akar dan tidak bisa ditambal lagi.
- Infeksi di ujung akar (abses) yang menyebabkan gusi bengkak.
- Sisa akar gigi tertinggal setelah pencabutan sebelumnya.
- Akar gigi mengganggu pertumbuhan gigi lain, seperti gigi bungsu.
- Persiapan sebelum pemasangan implan atau gigi palsu.

Dokter gigi sebelumnya melakukan pemeriksaan menyeluruh dan memastikan lewat foto rontgen sisa gigi yang ada sudah tidak dapat dipertahankan sehingga diperlukan prosedur pencabutan.
Bagaimana Proses Cabut Akar Gigi Dilakukan?
Prosedur cabut akar gigi biasanya berlangsung sekitar 30–60 menit tergantung letak dan kondisi akar. Berikut langkah-langkahnya:
1. Pemeriksaan rontgen (X-ray)
Rontgen x-ray dilakukan untuk melihat posisi akar dan struktur tulang sekitarnya sebelum melakukan tindakan.

2. Anestesi lokal
Pemberian anestesi lokal dilakukan agar selama tindakan kamu tidak merasakan nyeri.

3. Pembuatan sayatan
Setelah anestesi diberikan, lalu dokter gigi akan melakukan pembuatan sayatan kecil pada gusi jika akar tertanam cukup dalam.

4. Pengangkatan akar gigi
Kemudian, dokter akan melakukan pengangkatan akar gigi dengan alat bedah khusus secara perlahan dan hati-hati.

5. Penjahitan luka
Setelah semua selesai, bila diperlukan agar proses penyembuhan lebih cepat akan dilakukan penjahitan luka. Meskipun tidak semua pencabutan sisa akar tidak memerlukan penjahitan.

Masa Pemulihan dan Perawatan Setelah Cabut Akar Gigi
Masa pemulihan umumnya berlangsung 1–2 minggu. Pada hari pertama, gusi mungkin akan sedikit bengkak atau nyeri, tapi ini normal dan bisa diatasi dengan obat yang sudah diresepkan.
Beberapa hal yang perlu kamu perhatikan:
- Hindari berkumur atau meludah keras selama 24 jam pertama.
- Jangan mengisap dengan sedotan, karena bisa mengganggu pembentukan bekuan darah.
- Konsumsi makanan lembut seperti bubur, sup, atau smoothies.
- Sikat gigi dengan lembut dan hindari area luka.
- Jangan merokok atau minum alkohol selama masa pemulihan.
Kalau muncul nyeri hebat, perdarahan yang tak berhenti, atau mulut terasa bau menyengat, segera kembali ke dokter untuk diperiksa. Kamu bisa ke klinik gigi terdekat yang menyediakan perawatan gigi lengkap dan dokter gigi profesional seperti klinik Medikids atau MHDC. Reservasi langsung sekarang di sini.






