Tahukah kamu, masalah gigi ternyata tidak hanya karies, gigi berlubang, atau gigi berjejal. Ada juga kondisi tertentu di mana gigi mengalami ketidaknormalan yang jika tidak ditangani bisa membawa risiko pada kesehatan gigimu. Contohnya adalah ankilosis gigi.
Apa Itu Ankilosis Gigi?
Ankilosis gigi merupakan salah satu jenis kelainan dimana terjadi fusi atau bersatunya permukaan akar gigi dengan tulang rahang. Dalam keadaan normal, akar gigi dan tulang dipisahkan oleh lapisan sendi gigi yang disebut ligamen periodontal. Meski sering ditemukan pada gigi susu, kondisi ini pun dapat terjadi pada gigi permanen. Pada gigi susu, kasus ankilosis biasanya terjadi di gigi geraham. Sementara, pada gigi permanen sering ditemukan di gigi taring.
Mengapa Kondisi Ini Bisa Terjadi?
Penyebab utama dental ankylosis adalah matinya sel-sel penyusun ligamen periodontal. Beberapa kondisi yang menyebabkan kerusakan jaringan tersebut antara lain:
Trauma pada gigi
Benturan keras pada gigi atau gigi pernah lepas dari soketnya dan berada di lingkungan kering terlalu lama sebelum dikembalikan lagi ke posisinya.
Faktor genetik
Ada kecenderungan kondisi ini menurun dalam keluarga.
Gangguan erupsi
Gigi yang terpendam (impaksi) dalam waktu lama, terutama pada pasien dewasa, memiliki risiko lebih tinggi untuk menyatu dengan tulang.
Efek samping perawatan
Terkadang dapat dipicu oleh prosedur ortodonti (kawat gigi) atau paparan bahan kedokteran gigi saat proses perawatan.
Tanda Ankilosis yang mudah dikenali
Kelainan pada gigi ini dapat diidentifikasi lewat pemeriksaan klinis maupun radiograf (foto rontgen). Saat pemeriksaan, gigi yang mengalami ankilosis akan mengeluarkan suara nyaring dan padat seperti logam saat diketuk. Namun, tanda ini biasanya hanya muncul jika area akar gigi yang menyatu dengan tulang sudah lebih dari 20%.
Gigi yang mengalami ankilosis juga biasanya terasa sangat kaku dan tidak memiliki mobilitas alami saat ditekan atau digerakkan. Pentingnya mengetahui riwayat dan pengamatan pertumbuhan gigi juga penting. Adanya riwayat trauma pada gigi merupakan indikator kuat gigi mengalami kelainan ini.
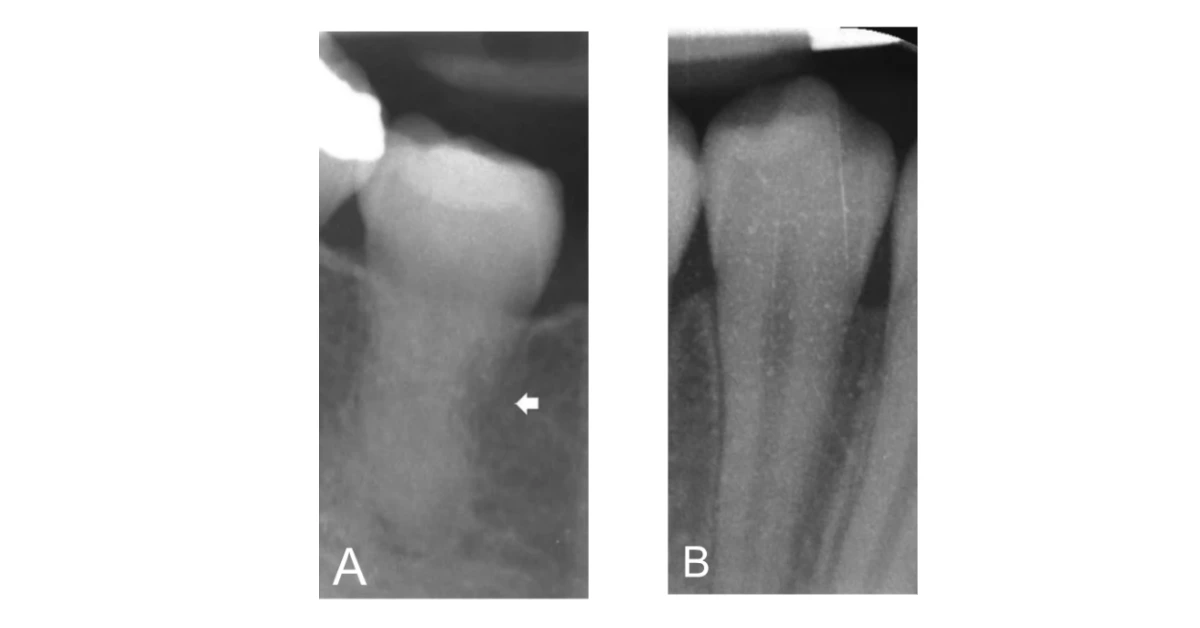
Pemeriksaan radiograf pun penting untuk menunjang diagnosis. Gambaran radiograf gigi yang mengalami tooth ankylosis ditandai dengan hilangnya garis hitam di sekitar akar gigi. Ada juga tanda hilangnya batas antara akar gigi dan tulang rahang sehingga tampak menyatu.

Bagaimana cara mengatasinya?
Penanganan gigi ankilosis bergantung pada apakah pasien masih dalam masa pertumbuhan atau tidak. Apabila pasien masih dalam masa pertumbuhan, tulang rahang akan terus tumbuh, sementara gigi ankilosis akan tetap diam sehingga dapat merusak bentuk gigi dan posisi gigi lainnya, sehingga kontrol rutin ke dokter gigi penting untuk memantau dan memberikan perawatan dini untuk tetap menjaga kondisi gigi anak.
Pada pasien dewasa, apabila kondisi ankilosis gigi tidak menyebabkan masalah penampilan atau fungsi kunyah, maka sering kali dokter akan menyarankan pemantauan rutin tanpa perlu tindakan bedah. Namun, sebaliknya, apabila gigi yang ankilosis menyebabkan masalah penampilan dan fungsi kunyah, maka beberapa pilihan perawatan seperti pencabutan dan pembedahan dapat dilakukan untuk mengatasi hal tersebut.
Kesimpulan
Ankilosis gigi merupakan kondisi menyatunya akar gigi dengan tulang rahang akibat hilangnya jaringan ligamen periodontal yang sering dipicu oleh trauma fisik, faktor genetik, maupun gangguan pertumbuhan baik pada gigi susu maupun permanen.
Secara klinis, kondisi ini dapat dikenali dengan sifat gigi yang kaku dan tidak bergerak, adanya suara dentin logam saat gigi diketuk, dan pada gambaran ronsen menunjukkan hilangnya batas antara akar gigi dan tulang. Penanganannya bergantung pada usia pasien, di mana pada anak-anak diperlukan pemantauan ketat untuk mencegah gangguan tumbuh kembang rahang, sementara pada orang dewasa dapat dilakukan observasi atau pencabutan bergantung pada apakah kondisi tersebut mengganggu estetika wajah maupun fungsi kunyah.
Kalau kamu merasa punya keluhan pada gigi, jangan ragu untuk segera melakukan pemeriksaan ke klinik gigi terdekat. Dengan begitu, kamu bisa mendeteksi masalah atau kelainan gigi sejak dini. Kamu bisa datang ke Medikids atau MHDC Clinic yang dilengkapi dengan teknologi modern untuk diagnosis yang lebih presisi.
Ditulis oleh: drg. Anjung Twice Rikiandelin
Ditinjau oleh: drg. Rizky Aditiya Irwandi, MSc., Ph.D
Referensi
- The European Journal of Orthodontics. (2013). Importance of root development in autotransplantations: A retrospective study of 137 teeth with a follow-up period varying from 1 week to 14 years.
- Hadi, A., Marius, C., Avi, S., Mariel, W. and Galit, B.B. (2018). Ankylosed permanent teeth: incidence, etiology and guidelines for clinical management.
- Doufexi, A.E., Masali, E., Christoforidou, E. and Kefalogiannis, I. (2025). Tooth ankylosis: etiology, diagnosis and treatment review and case series.
- Ding, Z. and Yin, M. (2025). Sequential Treatment For An Ankylosed Primary Molar With Dentigerous Cyst.






