Belakangan ini ada tren di media sosial penggunaan alat baru untuk membersihkan gigi, yaitu water flosser. Water flosser merupakan alat elektronik yang menyemprotkan air bertekanan tinggi ke sela-sela gigi dan tepi gusi untuk menghilangkan sisa makanan dan plak. Fungsi water flosser mirip dengan benang gigi, tetapi secara teknis lebih mudah digunakan. Water flosser juga lebih nyaman digunakan oleh individu dengan kawat gigi dan implan. Namun, apakah benar water flosser dapat membersihkan karang gigi?
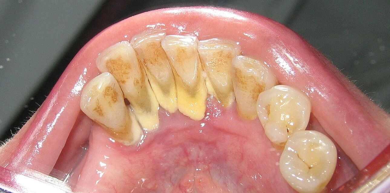
Apa itu plak dan karang gigi?
Plak dan karang gigi, keduanya merupakan lapisan yang terbentuk dari aktivitas bakteri pada permukaan gigi. Plak bersifat lunak dan dapat dibersihkan dengan menyikat gigi, sedangkan karang adalah plak yang sudah mengeras karena deposit mineral, sehingga menempel lebih kuat pada permukaan gigi. Ketika sudah menjadi karang gigi yang keras, lapisan tersebut harus dihilangkan dengan prosedur scaling/pembersihan karang gigi secara profesional di dokter gigi.

Benarkah water flosser bersihkan karang gigi?
Hingga saat ini, belum ada bukti dental water flosser dapat melepaskan karang gigi yang sudah terbentuk. Walaupun demikian, penggunaan rutin water flosser dapat mengurangi pembentukan karang gigi. Kombinasi penggunaan sikat gigi manual dengan water flosser terbukti efektif meningkatkan kebersihan gigi.

Bagaimana cara memilih water flosser terbaik?
Terdapat berbagai jenis water flosser di pasaran. Jika ingin mulai menggunakan water flosser, berikut beberapa poin yang dapat menjadi pertimbangan:
Kapasitas tangki dan kenyamanan penggunaan
Secara umum, water flosser terbagi menjadi 2 jenis: flosser dengan tangki air terpisah disertai pipa sambungan air, dan flosser cordless. Flosser dengan tangki air terpisah membutuhkan ruang penyimpanan di kamar mandi yang lebih luas, namun memiliki kapasitas tangki yang lebih besar sehingga tidak perlu sering diisi ulang. Tangki air yang terpisah membuat ukuran flosser lebih kecil, sehingga lebih ringan dan nyaman digenggam. Jika tidak banyak ruang di kamar mandi, flosser cordless dapat menjadi pilihan. Pilihlah sesuai dengan kebutuhan Anda agar nyaman dan mudah digunakan sehari-hari.


Nozzle / ujung water flosser
Dalam 1 set water flosser, ada beberapa jenis nozzle yang dapat diganti sesuai kebutuhan. Umumnya terdapat nozzle jet biasa untuk sehari-hari, nozzle periodontal bagi Anda yang memiliki gusi sensitif, serta nozzle ortodonti untuk para pengguna kawat gigi.

Pilihan kekuatan tekanan air
Jika baru pertama kali menggunakan water flosser, direkomendasikan untuk mulai dari tekanan terendah untuk adaptasi terlebih dahulu. Pengaturan tekanan water flosser yang optimal adalah tekanan tertinggi yang masih terasa nyaman dan tidak sakit bagi Anda. Hati-hati karena apabila terlalu keras, semprotan airnya dapat melukai gusi.

Bagaimana cara menggunakan water flosser?
Water flossing dilakukan setidaknya satu kali per hari, terutama di malam hari sebelum tidur sebelum menyikat gigi. Beberapa penelitian menunjukkan water flosser memiliki kemampuan membersihkan sela-sela gigi yang setara, bahkan lebih baik dibandingkan benang gigi konvensional. Jika Anda sudah terbiasa menggunakan benang gigi, tidak ada salahnya menambahkan rutinitas water flossing agar lebih optimal.
Tahapan penggunaan water flosser adalah sebagai berikut:
- Siapkan water flosser dengan baterai yang sudah terisi.
- Isikan air ke dalam tangki sesuai petunjuk penggunaan.
- Pasang nozzle ke tangki air.
- Atur kekuatan tekanan air pada mesin.
- Arahkan nozzle 90o terhadap permukaan gigi dengan mulut sedikit terbuka, kemudian nyalakan mesin.
- Semprotkan air ke setiap sela-sela gigi secara bertahap, mulai dari gigi paling belakang ke arah depan.
- Jika mulut terasa penuh, buang air dalam mulut, kemudian lanjutkan pembersihan hingga mengenai seluruh gigi.
Baik water floss maupun benang gigi biasa, selama digunakan secara rutin setiap hari dengan teknik yang tepat, akan membantu memelihara kesehatan gigi kita. Agar kebersihan gigi semakin optimal, jangan lupa tetap lakukan dental check-up dan scaling rutin ke dokter gigi di MHDC Clinic dan Medikids Clinic terdekat ya
ditulis oleh: drg. Khuzaima Adyasti
ditinjau oleh: drg. Rizky Aditiya Irwandi, M.Sc
Referensi:
- Newman, M.G. et al. (2019) Newman and Carranza’s clinical periodontology. Philadelphia, PA: Elsevier.
- Mancinelli‐Lyle, D. et al. (2023) ‘Efficacy of water flossing on clinical parameters of inflammation and plaque: A 4‐week randomized controlled trial’, International Journal of Dental Hygiene, 21(4), pp. 659–668. doi:10.1111/idh.12770.
- Richeson, L.P. (2025) New to water flossing? we sorted through 30+ options to find the 6 best, Health. Available at: https://www.health.com/condition/oral-health/best-water-flossers (Accessed: 24 September 2025).






