Tidak sedikit orang tua yang merasa tenang saat bayinya tertidur pulas sambil mengisap dot. Dot sering menjadi “penyelamat” ketika bayi rewel, sulit tidur, atau membutuhkan kenyamanan. Namun, di balik kebiasaan yang tampak sepele ini, terdapat dampak kesehatan gigi mulut Si Kecil yang tidak disadari. Banyak gigi rusak karena dot berawal dari kebiasaan penggunaan dot dan botol susu yang kurang tepat.
Gigi bayi yang masih dalam tahap pertumbuhan memiliki lapisan pelindung yang tipis dan rentan terhadap serangan bakteri penyebab gigi berlubang. Oleh karena itu, penting bagi orang tua untuk memahami bagaimana penggunaan dot dapat mempengaruhi kesehatan gigi, mengapa bayi tumbuh gigi tidak mau dot, serta bagaimana memilih dot yang baik untuk pertumbuhan gigi bayi yang sehat. Dengan pengetahuan yang tepat, orang tua dapat membantu menjaga senyum sehat si kecil sejak dini.
Pengaruh Dot pada Gigi Anak
Kasus kerusakan gigi pada anak ternyata banyak dikaitkan dengan kebiasaan minum susu botol yang kurang tepat. Masalah yang paling sering muncul karena hal ini adalah Early Childhood Caries (ECC) atau biasa disebut “baby bottle tooth decay”.

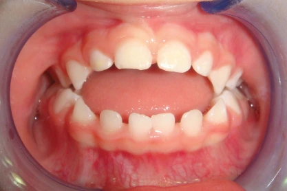
Gigi Rusak Akibat Dot
Gigi anak yang baru tumbuh memiliki enamel yang lebih tipis dan rentan terhadap bakteri. Jika anak sering menggunakan dot yang berisi susu, jus, atau minuman manis terutama saat tidur, cairan manis akan menetap di sekitar gigi terlalu lama. Bakteri akan mengubah gula tersebut menjadi asam yang merusak enamel gigi, sehingga timbul gigi berlubang.
Faktor Risiko Kerusakan Gigi Akibat Dot
- Terlalu sering minum susu botol di luar jadwal makan (misalnya hanya untuk menenangkan)
- Tidur dengan dot yang berisi susu, jus, atau cairan manis
- Tidak membersihkan gigi dan gusi anak setelah minum
- Terlalu lama menggunakan dot hingga usia balita
Jika dibiarkan, gigi depan bagian atas biasanya yang pertama rusak, kemudian menyebar ke gigi lainnya. Kerusakan yang parah dapat menyebabkan rasa sakit dan infeksi pada gigi hingga terjadinya gangguan makan dan bicara.

Bayi Tumbuh Gigi Tidak Mau Dot: Apakah Ini Normal?
Saat bayi memasuki fase tumbuh gigi, umumnya pada usia sekitar 4–7 bulan , tidak sedikit orang tua yang mendapati bayinya mulai enggan menggunakan dot. Kondisi ini tergolong normal dan biasanya berkaitan dengan perubahan yang terjadi di rongga mulut bayi.
Beberapa alasan bayi menolak dot saat tumbuh gigi antara lain:
Gusi terasa nyeri atau tidak nyaman
Saat gusi membengkak dan terasa gatal, gesekan dot dapat menimbulkan rasa tidak nyaman sehingga bayi menolaknya.
Baca juga: Proses Tumbuh Gigi di Gusi Atas pada Bayi dan Anak
Mulai tertarik pada tekstur makanan lain
Di usia ini, bayi mulai dikenalkan dengan makanan pendamping ASI, sehingga ketergantungan terhadap dot secara alami berkurang.

Perubahan pola menyusu
Rasa tidak nyaman pada gusi membuat bayi menjadi lebih rewel, mudah terganggu, dan sulit fokus saat menyusu.
Selain itu, beberapa bayi justru lebih memilih benda yang lebih keras seperti teether untuk digigit karena dapat membantu meredakan tekanan pada gusi. Hal ini merupakan bagian dari proses adaptasi dan perkembangan yang wajar.
Apabila bayi tiba-tiba menolak dot, orang tua tidak perlu khawatir atau memaksakan. Prioritaskan kenyamanan bayi selama masa tumbuh gigi, misalnya dengan memberikan teether dingin, memijat lembut gusi, atau memastikan bayi tetap merasa tenang dan nyaman.
Dot yang Baik untuk Pertumbuhan Gigi Bayi
Pemilihan dot yang tepat memiliki peran penting dalam menjaga kesehatan rongga mulut serta mendukung pertumbuhan gigi dan rahang bayi. Dot yang tidak sesuai dapat meningkatkan risiko gangguan gigitan, posisi gigi, hingga masalah pada perkembangan rahang. Berikut beberapa hal yang perlu diperhatikan oleh orang tua:
Pilih dot dengan bentuk ortodontik
Dot ortodontik dirancang mengikuti bentuk alami mulut bayi, termasuk langit-langit dan gusinya, sehingga terasa lebih nyaman saat digunakan. Bentuk ini membantu menjaga posisi lidah, rahang, dan gigi tetap seimbang ketika bayi menghisap, yang dapat membantu mengurangi risiko masalah gigi di kemudian hari. Selain itu, bahan karet dot yang lembut dan kenyal, mirip dengan payudara ibu, dapat membantu melatih kekuatan rahang bayi, mendukung pertumbuhan gigi secara alami, serta membantu mengurangi risiko bayi mengalami bingung puting saat menyusu langsung dari payudara ibu.

Perhatikan ukuran sesuai usia bayi
Gunakan dot dengan ukuran yang sesuai dengan usia. Dot yang terlalu besar atau terlalu kecil dapat menyebabkan ketidaknyamanan akibat tekanan berlebih pada gigi dan mempengaruhi arah pertumbuhannya akibat perubahan pola isap.

Pilih bahan yang aman dan lembut
Pastikan dot terbuat dari bahan silikon atau lateks berkualitas tinggi, bebas BPA, dan tidak mudah rusak. Bahan yang terlalu keras dapat mengiritasi gusi, sedangkan yang terlalu lunak mudah sobek.
Ujung datar dengan bagian bawah lebih lebar
Menyerupai bentuk payudara, sehingga membantu perlekatan yang lebih alami dan mengurangi tekanan tidak merata pada gigi serta gusi.
Desain dengan ventilasi udara
Dot yang memiliki lubang ventilasi pada pelindungnya membantu mencegah iritasi pada kulit sekitar mulut dan mengurangi penumpukan air liur.
Mudah dibersihkan dan steril
Kebersihan dot sangat penting untuk mencegah pertumbuhan bakteri. Pilih dot yang mudah dicuci dan tahan panas agar dapat disterilkan secara rutin.
Aliran susu sesuai tahap perkembangan
Aliran yang terlalu cepat dapat membuat bayi sering menyedot dan menahan cairan manis lebih lama di sekitar gigi, sehingga meningkatkan risiko kerusakan gigi.
Batasi penggunaan dot
Meskipun dot dapat membantu menenangkan bayi, penggunaannya sebaiknya tidak berlebihan dan tidak terus-menerus, terutama saat bayi sudah mulai tumbuh gigi dan aktif makan. Pengunaan melebihi usia 18-36 bulan dapat meningkatkan risiko terjadinya open bite anterior (gigitan terbuka gigi depan) dan crossbite posterior (gigitan silang gigi belakang).

Dengan memilih dot yang tepat dan menggunakannya secara bijak, orang tua dapat membantu menjaga kesehatan gigi dan mulut bayi sekaligus mendukung proses tumbuh kembang yang optimal.
Panduan Penggunaan Dot untuk Mencegah Kerusakan Gigi Anak
Penggunaan dot yang tepat dapat membantu menenangkan bayi tanpa mengorbankan kesehatan gigi dan mulutnya. Berikut beberapa panduan yang dianjurkan untuk meminimalkan risiko kerusakan gigi sejak dini.
Hindari memberikan dot saat anak tertidur
Jika anak membutuhkan dot untuk menenangkan diri, sebaiknya isi dengan air putih dan bukan susu atau minuman manis.
Batasi penggunaan dot hingga usia 12–18 bulan
Pengurangan secara bertahap membantu mencegah ketergantungan dan mendukung pembentukan kebiasaan makan yang lebih sehat.
Rutin membersihkan gusi dan gigi anak
Gunakan kain lembut atau sikat gigi khusus bayi sejak gigi pertama mulai tumbuh untuk menjaga kebersihan rongga mulut.

Jangan mengoleskan madu, gula, atau pemanis pada dot
Kebiasaan ini dapat meningkatkan risiko gigi berlubang secara signifikan.

Utamakan pemberian ASI jika memungkinkan
Menyusu langsung dari payudara membantu perkembangan otot mulut, rahang, dan koordinasi mengisap yang lebih optimal.

Periksa kondisi dot dan jaga kebersihan kondisi dot secara berkala
Segera ganti jika dot retak, sobek, atau berubah bentuk. Cuci dengan air mengalir, sabun khusus bayi, dan lakukan sterilisasi secara rutin bisa dengan direbus di dalam air selama 15 menit.
Baca juga: Bayi Belum Tumbuh Gigi? Jangan Panik Dulu, Parents!
Lakukan pemeriksaan gigi secara rutin
Disarankan mulai sejak usia satu tahun atau ketika gigi pertama muncul untuk memantau pertumbuhan gigi dan mencegah masalah sejak dini.

Dengan menerapkan langkah-langkah diatas, penggunaan dot tetap dapat dilakukan secara aman tanpa mengganggu pertumbuhan gigi dan perkembangan mulut anak.
Kesimpulan
Dot memang dapat membantu menenangkan bayi dan mempermudah proses menyusu, namun penggunaannya perlu dilakukan secara bijak. Penggunaan dot yang tidak tepat berisiko menimbulkan masalah pada kesehatan gigi anak. Risiko tersebut dapat diminimalkan melalui pemilihan dot yang sesuai, menjaga kebersihan mulut secara rutin, serta membatasi penggunaannya sesuai dengan tahapan perkembangan bayi.
Apabila bayi mulai menolak dot saat memasuki masa tumbuh gigi, orang tua tidak perlu khawatir. Hal ini merupakan bagian dari proses perkembangan yang normal. Dengan pengamatan yang baik dan selalu memperhatikan kenyamanan, bayi dapat melalui fase ini dengan lebih tenang dan sehat.
Untuk menjaga kesehatan gigi dan mulut anak secara optimal, pemeriksaan rutin ke dokter gigi anak sangat dianjurkan. Deteksi dan penanganan sejak dini akan membantu mencegah masalah yang lebih serius di kemudian hari. Senyum sehat anak berawal dari perhatian dan kebiasaan baik orang tua sejak dini. Percayakan perawatan gigi anak pada klinik Medikids dan MHDC Klinik. Dokter di klinik MHDC Group memiliki kemampuan yang baik dalam menghadapi pasien anak tanpa membuat anak trauma dan takut. Klinik di Medikids juga didesain ramah anak sehingga anak bisa nyaman saat periksa gigi. Reservasi di sini.
ditulis oleh: drg. Fadjar Seno Aji – MHDC Menara Sentraya
ditinjau oleh: drg. Rizky Aditiya Irwandi, MSc., Ph.D







