Veneer dan bleaching gigi merupakan tindakan dalam kedokteran gigi yang memiliki tujuan untuk mendapatkan perubahan warna gigi yang lebih cerah sehingga dapat menghasilkan senyum dengan gigi yang lebih putih dan bersih. Meskipun sama-sama mencerahkan, terdapat perbedaan mendasar diantara keduanya. Berikut akan dibahas perbedaan dari veneer gigi dan bleaching gigi.
Apa Itu Veneer Gigi?
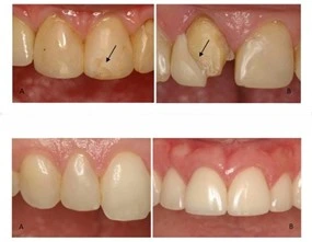
Veneer gigi adalah pelapisan struktur permukaan bagian depan gigi dengan menggunakan bahan tambal/restorasi dengan tujuan untuk memperbaiki penampilan gigi. Bahan yang biasanya digunakan untuk veneer gigi adalah resin komposit atau porcelain. Terdapat 2 jenis veneer gigi, yaitu:
Veneer Direct
Veneer direct bahan yang digunakan biasanya resin komposit, pengerjaannya jauh lebih singkat bisa langsung dikerjaan dalam satu hari. Kekurangannya, cenderung lebih mudah terkelupas/retak tetapi mudah diperbaiki, mudah berubah warna dan ketahanannya umumnya 5-7 tahun.

Veneer Indirect
Veneer indirect umumnya menggunakan bahan porcelain, pengerjaannya membutuhkan benerapa kali kunjungan karena memerlukan prosedur pencetakan gigi dan pengerjaan lab. Kelebihannya lebih estetis, kuat dan tidak mudah berubah warna.

Manfaat Veneer Gigi
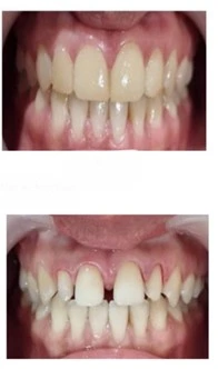
Manfaat dari veneer gigi yang paling umum adalah untuk kepentingan estetika. Pemasangan veneer gigi dapat memperbaiki penampilan dan meningkatkan rasa percaya diri, membuat warna gigi menjadi lebih cerah, dapat menutup celah pada gigi depan yang berjarak, dan memperbaiki bentuk gigi.
Baca juga: Mau Veneer Gigi Kelinci? Ketahui Efek Sampingnya Sebelum Menyesal
Proses Veneer Gigi
- Konsultasi dan persiapan gigi, sebelum dilakukan pemasangan veneer gigi lapisan enamel gigi akan di hilangkan disebut proses preparasi.
- Setelah itu, dilakukan pemilihan warna veneer dengan menggunakan shade guide sehingga didapatkan warna yang sesuai penampilan selanjutnya dilakukan proses pencetakn gigi.
- Selagi menunggu veneer permanen selesai dari lab, dilakukan pemasangan veneer sementara.
- Setelah proses pembuatan veneer permanennya selesai dilakukan penyesuaian terlebih dahulu dan dilakukan sementasi dengan light curing.
Apa itu Bleaching Gigi?
Bleaching gigi adalah prosedur untuk membuat warna gigi lebih cerah dengan menggunakan bahan kimia berupa hidrogen peroksida dan karbamaid peroksida. Indikasi bleaching gigi dilakukan pada gigi yang mengalami perubahan warna pasca perawatan saluran akar, perubahan warna akibat penggunaan obat, perubahan warna pada gigi karena trauma atau hilangnya putih alami gigi akibat noda eksternal misalnya dari makanan dan minuman yang dikonsumsi selama bertahun-tahun.
Terdapat 2 tipe bleaching gigi, yaitu:
Bleaching eksternal
Prosedur bleaching yang dilakukan pada gigi sehat (gigi vital) bagian luar lapisan email. Bleaching eksternal dilakukan oleh dokter gigi di klinik.

Bleaching internal
Prosedur bleaching pada gigi yang telah mengalami infeksi saraf gigi (termasuk gigi pasca perawatan saraf gigi) atau gigi sudah non vital.

Manfaat Bleaching Gigi
Manfaat bleaching gigi adalah mencerahkan warna gigi dengan prosedur yanh relatif singkat dengan ketahanan yang cukup lama, dapat meningkatkan rasa percaya diri karena memiliki gigi yang lebih putih, serta memperbaiki penampilan.
Baca juga: Apa Saja Pantangan Setelah Bleaching Gigi?
Lebih Baik Bleaching Gigi atau Veneer Gigi?
Mana yang lebih baik antara bleaching gigi dan veneer gigi? Hal tersebut tergantung dari kondisi giginya, jika kondisi gigi sehat namun menginginkan warna gigi tersebut menjadi lebih cerah dengan waktu yang singkat dan proses yang cepat, proses memutihkan gigi dengan bleaching dapat dilakukan. Namun, apabila terdapat perubahan warna gigi yang ekstrem serta bentuk gigi yang perlu perbaikan atau terdapat celah pada gigi, prosedur veneer gigi lebih tepat digunakan.
Untuk mengetahui tindakan apa yang lebih cocok untuk anda yang ingin mencerahkan warna gigi dapat dikonsultasikan dahulu dan dilakukan pengecekan gigi dan mulut anda di MHDC Clinic dan Medikids Clinic terdekat ya.
Artikel ditulis oleh: drg. Risa Febriani
ditinjau oleh: drg. Rizky Aditiya Irwandi, M.Sc
Referensi:
- Fabio HC, Daiana SH, Michele PS, Maria C, Marcos B, Niek JM, Flavio FD. Direct anterior composite veneers in vital and non-vital teeth: A retrospective clinical evaluation. Journal of Dentistry. 2015(43): 1330-1336
- Dharma SA, at al. Penutupan Diastema Rahang Rahang Atas dengan Restorasi Porselen Veneer Labial Tidak Langsung. Jurnal Material Kedokteran Gigi. 2022(11)1:21-27
- Galih S. Effectiveness of bleaching agent on composite resin discoloration. Dent. J. (Maj. Ked. Gigi). 2012(45)1: 43–47







