Kehilangan gigi atau gigi ompong biasanya identik dengan kelompok lansia. Faktanya, gigi ompong juga dialami pada masyarakat kelompok usia produktif. Hasil Survei Kesehatan Indonesia (SKI) di tahun 2023 menunjukkan 18% masyarakat dalam kelompok usia 35-44 tahun mengalami masalah kehilangan gigi. Mengapa masalah ini bisa terjadi dan bagaimana cara kita mengatasinya? Yuk simak artikel ini hingga selesai untuk tau jawabannya!
Penyebab Gigi Ompong Usia Muda
Menurut SKI, kehilangan gigi adalah kondisi hilangnya gigi dari rongga mulut secara sengaja ataupun tidak sengaja. Pada dasarnya, dokter gigi mampu mengidentifikasi dan mengatasi masalah pada gigi dan rongga mulut pasien. Namun, pada beberapa kasus di mana kerusakan sudah meluas sehingga tidak dapat diperbaiki lagi dan berakhir harus dicabut. Kerusakan tersebut dapat disebabkan oleh infeksi bakteri kronis termasuk karies – gigi berlubang dan periodontitis – penyakit gusi dan tulang penyangga gigi, maupun akibat trauma – benturan akibat kecelakaan.
Karies Gigi
Karies atau yang sering kita sebut gigi berlubang adalah kondisi infeksi kronis yang terjadi karena larutnya struktur jaringan keras gigi oleh asam yang diproduksi bakteri. Jika dibiarkan, maka semakin besar kerusakan gigi yang terjadi. Akibatnya, hanya tertinggal sisa akar yang sehingga tidak bisa dipertahankan dan harus dicabut. Pada beberapa situasi, sisa akar tidak selalu bergejala (seperti nyeri, gusi bengkak) namun infeksi pada gigi tersebut terus berlanjut. Infeksi lanjutan meluas hingga ke area sekitar gigi bahkan hingga menyebabkan kematian jika infeksi menyebar lebih luas lagi.

Periodontitis
Periodontitis adalah peradangan pada struktur penyangga gigi (gusi dan tulang rahang). Awalnya, peradangan dapat dihindari dengan rutin sikat gigi dua kali sehari. Namun, akibat karang gigi yang menumpuk – karena seharusnya dibersihkan 6 bulan sekali – memicu peradangan berkepanjangan sehingga merusak gusi dan tulang penyangga gigi. Alhasil, gigi kehilangan struktur penyangganya dan menjadi goyang. Kondisi seperti ini, jika dibiarkan akan berujung pada kehilangan gigi.

Trauma gigi
Trauma terjadi ketika gigi menerima beban atau gaya yang lebih besar dari batas toleransi yang dapat ditanggung. Contohnya adalah yang dialami saat kecelakaan, mengunyah sesuatu yang terlalu keras, ataupun menerima pukulan di area rongga mulut. Akibatnya, gigi bisa patah atau bahkan terlepas dari rahang.

Akibat Kehilangan Gigi
Meskipun dampak gigi hilang tidak terasa secara instan, namun efek jangka panjangnya sangat merugikan penderitanya. Apa saja dampak dari kehilangan gigi pada rongga mulut?
Gigi Bergeser
Ruang kosong akibat gigi hilang memicu gigi di sekitarnya bergerak ke area tersebut. Hal ini menyebabkan susunan gigi yang bersisa menjadi berantakan yang meningkatkan potensi gigi berlubang akibat sulit dibersihkan.

Gangguan sistem pencernaan
Gigi berperan penting dalam sistem pencernaan, khususnya saat makan dikunyah di rongga mulut. Hilangnya gigi memberikan kelainan pada sistem pencernaan karena makanan tidak dapat dikunyah dengan baik sehingga beban organ pencernaan selanjutnya menjadi berat.
Baca juga: Hati-hati, GERD Bisa Jadi Awal Kerusakan Gigimu
Tulang dan Gusi Turun
Kinerja dan kesehatan gusi, tulang dan gigi berhubungan sangat erat. Ketika terjadi kehilangan gigi, gusi dan tulang tidak lagi menerima rangsangan gaya dari fungsi pengunyahan, sehingga mengalami atrofi (berubah bentuk) berupa penurunan gusi dan hilangnya tulang pada area gigi yang hilang.
Gangguan berbicara
Kehilangan gigi, khususnya gigi depan, dapat mengganggu pelafalan berbagai huruf sehingga mengganggu fungsi bicara.

Perubahan tampilan wajah
Kehilangan gigi memicu penyusutan tulang rahang. Kehilangan banyak gigi belakang membuat wajah menjadi tampak menua akbiat penyusutan ini. Sedangkan, gigi depan yang hilang merusak penampilan yang berdampak buruk pada aspek psikososial.
Solusi Kehilangan Gigi
Dunia kedokteran gigi terus berkembang untuk memberikan solusi tepat dan terbaik untuk berbagai masalah kesehatan gigi mulut yang ada, termasuk kehilangan gigi. Berikut ini adalah pilihan solusi untuk mengatasi masalah kehilangan gigi :
Implan gigi
Implan gigi adalah gigi tiruan yang terdiri dari baut titanium yang ditanamkan ke dalam tulang rahang untuk menggantikan fungsi akar gigi. Di bagian atasnya, dipasangkan crown tiruan menyerupai gigi alami. Implan gigi adalah pilihan ideal untuk mengganti gigi hilang karena sifatnya yang tahan lama – bertahan hingga puluhan tahun tanpa perlu perbaikan atau penggantian – dan tampilan estetika yang optimal.

Gigi tiruan
Gigi tiruan dapat dibedakan menjadi gigi tiruan lepasan – pengguna dapat melepas pasang gigi tiruan secara mandiri – dan gigi tiruan yang cekat – gigi tiruan melekat permanen pada rongga mulut.

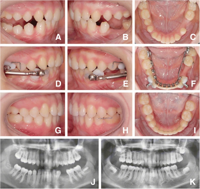
Kawat gigi (behel)
Pada keadaan tertentu, kehilangan gigi dapat diatasi dengan penggunaan behel. Spesifiknya, pada gigi geraham dimana gigi yang bersisa dibelakangnya ditarik ke area gigi yang sudah hilang

Memilih solusi tepat atasi gigi hilang memerlukan konsultasi dokter gigi dan pemeriksaan menyeluruh keadaan yang dialami pasien. Jadi kamu bisa konsultasikan dahulu masalah gigi hilang dengan dokter spesialis ortodonti yang ada di MHDC Group, di klinik Medikids dan MHDC terdekat dari lokasi kamu.
Pastikan juga untuk tetap menjaga kesehatan dan kelengkapan gigimu dengan rutin menyikat gigi dua kali sehari serta kontrol rutin ke dokter gigi setiap enam bulan.







