Pernah nggak sih ngobrol dengan orang yang bau mulut? Rasanya pasti nggak nyaman ya, sampai-sampai kita ingin cepat selesai ngobrolnya. Bau mulut juga buat kita nggak percaya diri saat harus ngobrol dengan orang lain.
Bau mulut, atau dalam istilah kedokteran disebut juga dengan halitosis adalah keluhan yang hampir semua orang pernah mengalaminya. Sebagian bau mulut akan hilang jika kita sudah membersihkan gigi dan mulut dengan baik. Tapi, ada juga bau mulut yang muncul lebih sering, menetap, dan tidak membaik meskipun rajin menyikat gigi. Nah, bisa jadi bau mulut ini adalah tanda adanya penyakit lain di dalam tubuh kamu!
Banyak orang tidak menyadari bahwa bau mulut bisa menjadi tanda gangguan kesehatan atau penyakit, baik yang berasal dari rongga mulut maupun dari kondisi kesehatan tubuh secara umum. Tubuh sering kali “berbicara” lewat hal-hal kecil, dan bau mulut bisa menjadi salah satu sinyal awalnya. Yuk, kita bahas lebih lengkap di artikel ini tentang bau mulut tanda penyakit apa saja dan mengenal berbagai penyakit yang ditandai dengan bau mulut!
Penyebab Bau Mulut dari Rongga Mulut
Sekitar 80–90% kasus bau mulut memang berasal dari dalam rongga mulut. Beberapa penyebab yang paling sering ditemukan diantaranya:
Kebersihan mulut yang kurang baik
Ketika sisa makanan tertinggal di dalam mulut, sisa makanan tersebut akan terurai dan menghasilkan bau mulut yang tidak sedap. Selain itu, plak gigi, lapisan lengket yang berisi bakteri akan terbentuk di permukaan gigi jika kebersihan mulut seperti menyikat gigi tidak dilakukan dengan baik. Jika dibiarkan, penumpukan plak ini akan mengeras menjadi karang gigi dan menjadi sumber bau mulut yang menetap.

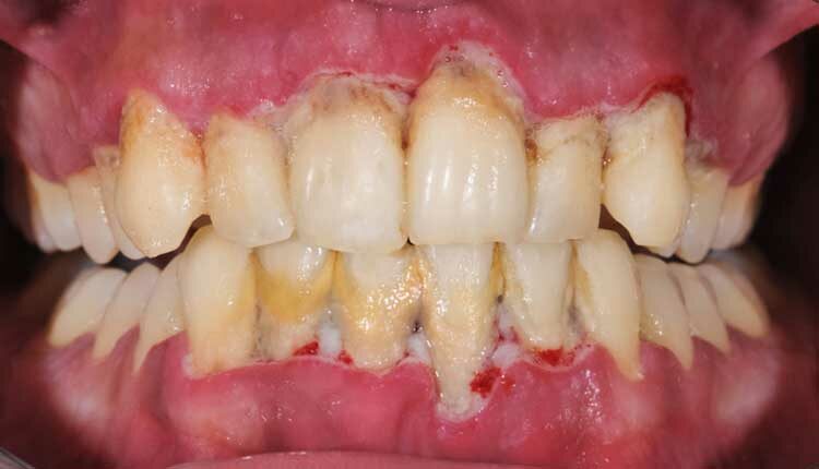
Penyakit gusi jaringan penyangga gigi
Kalau kamu memiliki gusi yang mudah berdarah, bengkak, atau terasa tidak nyaman, bisa jadi kamu mengalami gingivitis atau radang gusi! Peradangan gusi dan jaringan sekitar gigi bisa menyebabkan bau mulut yang khas dan harus diatasi agar peradangan tidak meluas. Jika peradangan meluas, tidak hanya dapat menyebabkan bau mulut saja, tapi juga bisa membuat gigi goyang hingga lepas.

Gigi berlubang atau infeksi gigi
Lubang gigi, terutama yang tidak terlihat, bisa menyimpan sisa makanan dan bakteri dalam waktu lama. Sisa makanan dan kotoran yang mengendap lama pada gigi akan menjadi tempat berkumpulnya bakteri. Bakteri akan mengurai sisa makanan dan menghasilkan gas sulfur yang berbau busuk dan menyebabkan bau mulut yang sulit hilang. Pembusukan jaringan pada gigi yang berlubang juga bisa menambah parah bau mulut.

Penggunaan dental appliance/alat kedokteran gigi
Gigi tiruan, behel, dan alat dental lainnya juga dapat menyebabkan bau mulut jika tidak dibersihkan secara rutin. Sisa makanan dan bakteri dapat menumpuk pada alat-alat tersebut sehingga menimbulkan bau tidak sedap. Selain itu, gigi tiruan yang tidak pas dapat menyebabkan luka atau infeksi, yang dapat memperburuk masalah bau mulut.

Lidah kotor
Bakteri dan sisa sel mati dapat menumpuk di permukaan lidah. Jika lidah tidak dibersihkan secara rutin, bau mulut bisa muncul meskipun gigi tampak bersih.

Mulut kering (xerostomia)
Air liur berfungsi membersihkan rongga mulut secara alami. Saat produksi air liur berkurang, misalnya karena kurang minum, stres, atau efek obat, maka bau mulut lebih mudah terjadi.

Berbagai Penyakit yang Ditandai dengan Bau Mulut
Selain dari rongga mulut, bau mulut juga bisa berkaitan dengan penyakit sistemik, yaitu gangguan pada organ atau metabolisme tubuh. Meski tidak selalu, kondisi berikut harus kamu waspadai:
Gangguan lambung dan pencernaan
Bau mulut juga bisa berkaitan dengan GERD (Gastroesophageal Reflux Disease), yaitu kondisi ketika asam lambung sering naik ke kerongkongan. Saat asam lambung naik hingga ke area mulut, sisa asam dan gas dari lambung bisa menimbulkan bau tidak sedap yang khas, meskipun kamu sudah rajin sikat gigi. GERD juga sering disertai mulut terasa asam, pahit, atau panas di dada (heartburn), dan kondisi ini bisa mengiritasi jaringan di rongga mulut serta menurunkan produksi air liur. Akibatnya, bakteri lebih mudah berkembang dan bau mulut makin terasa. Jadi, kalau bau mulut sering muncul bersamaan dengan keluhan maag, sering sendawa, atau rasa tidak nyaman di dada, bisa jadi penyebabnya bukan hanya dari gigi, tapi juga dari lambung yang perlu ditangani.

Diabetes yang tidak terkontrol
Bau mulut bisa menjadi salah satu tanda diabetes, terutama jika kadar gula darah tidak terkontrol dengan baik. Pada penderita diabetes, kadar gula yang tinggi dalam darah dan air liur dapat memicu pertumbuhan bakteri di rongga mulut, sehingga menimbulkan bau mulut yang tidak sedap. Selain itu, diabetes juga dapat menyebabkan mulut kering (xerostomia) karena produksi air liur berkurang, padahal air liur berperan penting dalam membersihkan sisa makanan dan bakteri. Pada kondisi yang lebih berat, bau mulut bisa beraroma manis atau seperti buah (aseton), yang menandakan tubuh memecah lemak sebagai sumber energi akibat kekurangan insulin.

Infeksi saluran pernapasan
Bau mulut juga bisa muncul saat kamu mengalami infeksi saluran pernapasan, seperti flu berat, radang tenggorokan, atau sinusitis. Saat infeksi, lendir (ingus atau dahak) biasanya jadi lebih kental dan menumpuk di hidung serta tenggorokan. Lendir inilah yang menjadi “tempat favorit” bakteri berkembang, sehingga menimbulkan bau tidak sedap yang bisa tercium dari mulut saat berbicara atau bernapas. Selain itu, hidung tersumbat membuat kita bernapas lewat mulut, yang menyebabkan mulut jadi kering dan bau mulut makin terasa. Jadi, kalau bau mulut muncul bersamaan dengan pilek, batuk, tenggorokan sakit, atau hidung mampet, kemungkinan besar penyebabnya adalah infeksi saluran pernapasan.

Gangguan fungsi ginjal
Bau mulut juga bisa berkaitan dengan gangguan ginjal, terutama jika fungsi ginjal sudah menurun. Saat ginjal tidak bekerja dengan baik, sisa racun dalam tubuh tidak terbuang sempurna dan bisa menumpuk di darah. Kondisi ini dapat menimbulkan bau mulut yang khas, sering digambarkan seperti bau amonia atau bau pesing.
Baca juga: Nafas Bau: Penyebab dan Cara Menghilangkannya
Gangguan fungsi hati
Bau mulut juga bisa menjadi tanda adanya gangguan fungsi hati. Saat hati tidak bekerja dengan optimal, racun di dalam tubuh tidak bisa diproses dan dibuang dengan baik, sehingga sebagian bisa keluar lewat napas dan menimbulkan bau mulut yang khas, sering digambarkan seperti bau manis, apek, atau tidak sedap.
Perlu kamu pahami, bau mulut bukan alat diagnosis, tetapi bisa menjadi tanda awal bahwa tubuhmu sedang membutuhkan perhatian lebih.
Kapan Bau Mulut Sebaiknya Diperiksakan?
Bau mulut jangan dibiarkan begitu saja, segera pertimbangkan untuk berkonsultasi jika bau mulut terjadi hampir setiap hari, tidak membaik meski kebersihan mulut sudah dijaga, dan muncul bersamaan dengan keluhan kesehatan lain. Semakin cepat penyebabnya diketahui, semakin mudah dan efektif penanganannya.
Dengarkan Sinyal Tubuhmu, Mulai dari Bau Mulut
Bau mulut bukan hanya soal rasa percaya diri, tapi juga bisa menjadi petunjuk penting tentang kesehatanmu secara keseluruhan. Kabar baiknya, sebagian besar penyebab bau mulut bisa ditangani dengan baik jika diperiksa sejak dini.
Kalau kamu sering mengalami bau mulut dan ingin tahu penyebab pastinya, kamu bisa memeriksakan kesehatan gigi dan mulut terkait bau mulut ke Klinik Gigi Medikids dan MHDC. Dokter gigi kami akan membantu mengevaluasi kondisi rongga mulutmu secara menyeluruh dan memberikan arahan yang tepat, agar kamu bisa kembali nyaman berbicara, tersenyum, dan menjalani aktivitas sehari-hari.
ditulis oleh: drg. Alfika Dinar Fitri – Medikids Grand Wisata
ditinjau oleh: drg. Rizky Aditiya Irwandi, MSc., Ph.D
Referensi
American Dental Association, Bad Breath (Halitosis)
https://www.ada.org/resources/ada-library/oral-health-topics/bad-breath
Mayo Clinic, Bad breath (halitosis): Symptoms and causes
https://www.mayoclinic.org/diseases-conditions/bad-breath/symptoms-causes/syc-20350922
National Institute of Dental and Craniofacial Research (NIDCR), Oral-Systemic Health
https://www.nidcr.nih.gov/health-info/oral-systemic-health






